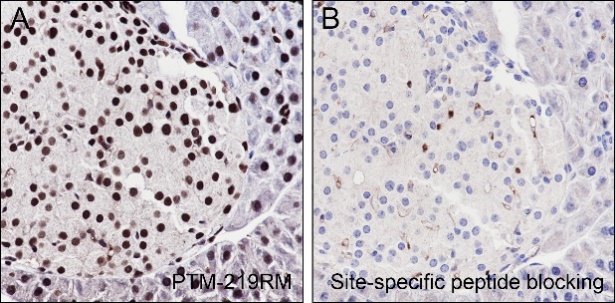
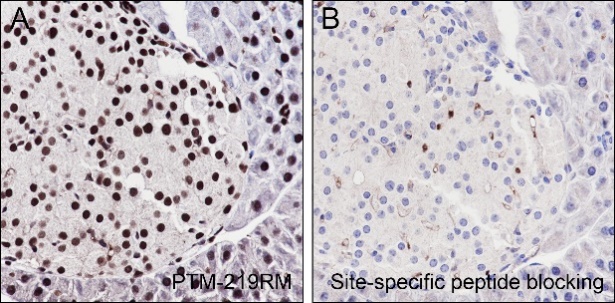
Anti-Propionyl-Histone H4 (Lys5) Rabbit mAb
Product Sizes
100 ul
PTM-219RM-100UL
About this Product
- SKU:
- PTM-219RM
- Application:
- WB, IHC-P, IP
- Buffer:
- PBS, Glycerol, BSA
- translate.label.attr.clone:
- 14H4L1
- Clonality:
- Recombinant Monoclonal
- Conjugate:
- Unconjugated
- Host:
- Rabbit
- Immunogen:
- Propionylated human histone H4 (Lys5) peptide
- Isotype:
- IgG
- Purification:
- Protein A purified
- Reactivities:
- Human, Mouse, Rat
- Research Area:
- Epigenetics
- Shipping Conditions:
- Ambient
- Specificity:
- Anti-Propionyl-Histone H4 (Lys5) Rabbit mAb detects histone H4 only when it is propionylated at Lys5
- Storage Conditions:
- Store at -20°C. Avoid freeze/thaw cycles.
- Supplier:
- PTM Bio
- PTM Type:
- Propionyl
- Modification Site:
- Lys5










