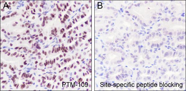
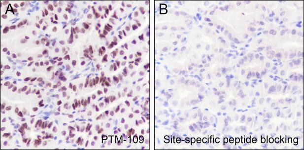
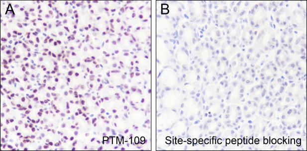
Anti-Acetyl-Histone H2B (Lys15) Rabbit pAb
Product Sizes
100 ul
PTM-109-100UL
About this Product
- SKU:
- PTM-109
- Application:
- WB, IHC-P
- Buffer:
- PBS, Glycerol, BSA
- Clonality:
- Polyclonal
- Conjugate:
- Unconjugated
- Host:
- Rabbit
- Immunogen:
- Acetylated human histone H2B (Lys15) peptide
- Isotype:
- IgG
- Purification:
- Protein A and immunogen affinity purified
- Reactivities:
- Human, Mouse, Rat
- Research Area:
- Epigenetics
- Shipping Conditions:
- Ambient
- Specificity:
- Anti-Acetyl-Histone H2B (Lys15) Rabbit pAb detects histone H2B only when it is acetylated at Lys15. This antibody has been shown to selectively recognize acetylated H2B peptide at Lys15, but not the structurally similar crotonylated peptide at Lys16 or unmodified peptide.
- Storage Conditions:
- Store at -20°C. Avoid freeze/thaw cycles.
- Supplier:
- PTM Bio
- PTM Type:
- Acetyl
- Modification Site:
- Lys15










