Anti-L-Lactyl-Histone H2A.Z (Lys11) Rabbit mAb
Product Sizes
100 ul
PTM-1422RM-100UL
About this Product
- SKU:
- PTM-1422RM
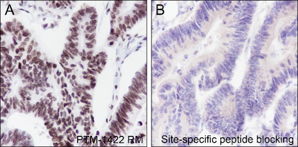
- Application:
- WB, IHC-P, ChIP
- Buffer:
- PBS, Glycerol, BSA
- translate.label.attr.clone:
- 29H2L2
- Clonality:
- Recombinant Monoclonal
- Conjugate:
- Unconjugated
- Host:
- Rabbit
- Immunogen:
- L-lactylated human histone H2A.Z (Lys11) peptide
- Isotype:
- IgG
- Purification:
- Protein A purified
- Reactivities:
- Human, Mouse, Rat
- Research Area:
- Epigenetics
- Shipping Conditions:
- Ambient
- Specificity:
- Anti-L-Lactyl-Histone H2A.Z (Lys11) Rabbit mAb detects histone H2A.Z only when it is L-lactylated at Lys11.
- Storage Conditions:
- Store at -20°C. Avoid freeze/thaw cycles.
- Supplier:
- PTM Bio
- PTM Type:
- Lactyl
- Modification Site:
- Lys11










