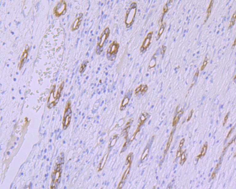
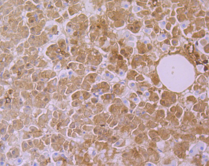
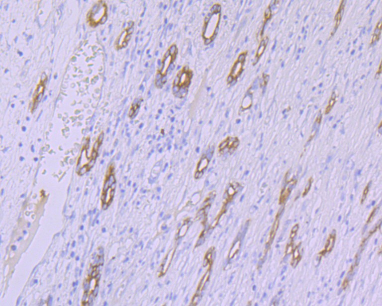
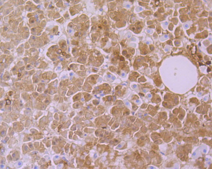
CYP26A1 Recombinant Rabbit monoclonal Antibody
Product Sizes
100μl
ET7108-02-100UL
About this Product
- SKU:
- ET7108-02
- Application:
- Western Blot, IHC-Paraffin
- Buffer:
- 1*TBS (pH7.4); 0.05% BSA; 40% Glycerol. Preservative: 0.05% Sodium Azide.
- translate.label.attr.clone:
- JG33-98
- Clonality:
- Monoclonal
- Conjugate:
- Non-conjugated
- Host:
- Rabbit
- Immunogen:
- Recombinant protein within Human CYP26A1 aa 181-470 / 497.
- Isotype:
- IgG
- Molecular Weight:
- Predicted band size: 56 kDa
- Physical State:
- Liquid
- Purity:
- Protein A affinity purified.
- Shipping Conditions:
- Blue Ice
- Storage Conditions:
- Shipped at 4[o]C. Store at +4[o]C short term (1-2 weeks). It is recommended to aliquot into single-use upon delivery. Store at -20[o]C long term.
- Supplier:
- Huabio
- Type:
- Antibodies: Monoclonal Antibody
- Manufacturer's Data Sheet:ET7108-02








