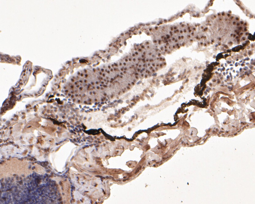
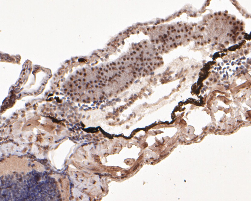
ddx24 Mouse monoclonal Antibody
Product Sizes
100μl
EM1902-04-100UL
About this Product
- SKU:
- EM1902-04
- Application:
- IHC-Paraffin
- Buffer:
- 1*PBS (pH7.4); 0.2% BSA; 50% Glycerol. Preservative: 0.05% Sodium Azide.
- translate.label.attr.clone:
- A3B11
- Clonality:
- Monoclonal
- Conjugate:
- Non-conjugated
- Host:
- Mouse
- Immunogen:
- Recombinant protein within zebrafish ddx24 aa 562-819 / 832.
- Isotype:
- IgG2a
- Molecular Weight:
- 94 kDa
- Physical State:
- Liquid
- Purity:
- Protein G affinity purified.
- Shipping Conditions:
- Blue Ice
- Storage Conditions:
- Shipped at 4[o]C. Store at +4[o]C short term (1-2 weeks). It is recommended to aliquot into single-use upon delivery. Store at -20[o]C long term.
- Supplier:
- Huabio
- Type:
- Antibodies: Monoclonal Antibody
- Manufacturer's Data Sheet:EM1902-04


