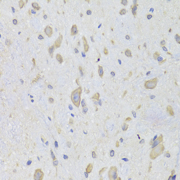
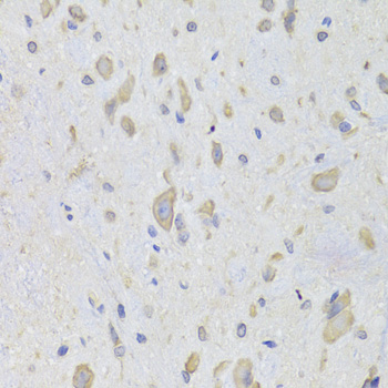
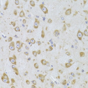
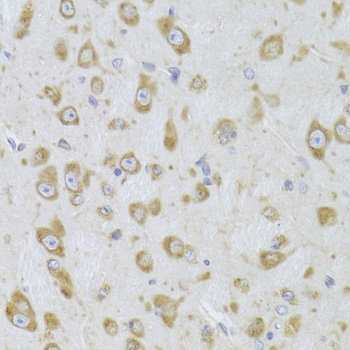
(KO Validated) EEF1B2 Polyclonal Antibody
Product Sizes
60 ul
E-AB-61227-60UL
120 ul
E-AB-61227-120UL
200 ul
E-AB-61227-200UL
About this Product
- SKU:
- E-AB-61227
- Additional Names:
- EEF1B2;EEF1B;EEF1B1;EF1B
- Application:
- Immunofluorescence, Immunohistochemistry, Western Blot
- Buffer:
- PBS
- Clonality:
- Polyclonal
- Concentration:
- 1 mg/ml
- Extra Details:
- This gene encodes a translation elongation factor. The protein is a guanine nucleotide exchange factor involved in the transfer of aminoacylated tRNAs to the ribosome. Alternative splicing results in three transcript variants which differ only in the 5' UTR.
- Host:
- Rabbit
- Immunogen:
- Recombinant fusion protein of human EEF1B2 (NP_001032752.1).
- Isotype:
- IgG
- Purification:
- Affinity Purified
- Reactivities:
- Human, Mouse, Rat
- Shipping Conditions:
- Blue Ice
- Storage Conditions:
- -20[o]C Avoid freeze/thaw cycles.
- Supplier:
- Elabscience
- Type:
- Antibody: Polyclonal Antibody
- Manufacturer's Data Sheet:p-(ko_validated)_eef1b2_polyclonal_antibody-e_ab_61227
