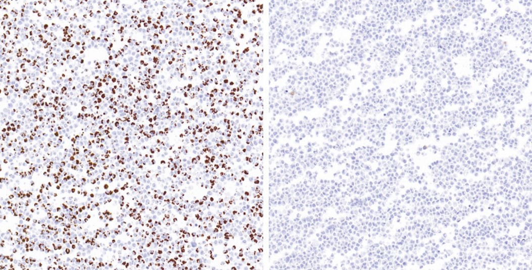
anti-MyD88 (L265P mutation) antibody [SQab30311]
About this Product
- SKU:
- ARG67041
- Additional Names:
- MYD88, MYD88 Innate Immune Signal Transduction Adaptor, Myeloid Differentiation Primary Response Protein MyD88, Myeloid Differentiation Primary Response Gene (88), Myeloid Differentiation Primary Response 88, TLR Adaptor MYD88, Mutant Myeloid Differentiation Primary Response 88, MYD88D, IMD68
- Application:
- IHC-Paraffin
- Buffer:
- PBS, 0.01% Sodium azide, 40% Glycerol and 0.05%BSA.
- CE/IVD:
- RUO
- translate.label.attr.clone:
- SQab30311
- Clonality:
- Monoclonal
- Extra Details:
- This gene encodes a cytosolic adapter protein that plays a central role in the innate and adaptive immune response. This protein functions as an essential signal transducer in the interleukin-1 and Toll-like receptor signaling pathways. These pathways regulate that activation of numerous proinflammatory genes. The encoded protein consists of an N-terminal death domain and a C-terminal Toll-interleukin1 receptor domain. Patients with defects in this gene have an increased susceptibility to pyogenic bacterial infections. Alternate splicing results in multiple transcript variants. [provided by RefSeq, Feb 2010]
- Host:
- Rabbit
- Immunogen:
- Synthetic peptide of Human MyD88 (L265P mutation).
- Isotype:
- IgG
- Purification:
- Protein A Purified; Affinity Purified
- Reactivities:
- Human
- Shipping Conditions:
- Blue Ice
- Specificity:
- This antibody is specifically for detects MyD88 L265P mutation
- Storage Conditions:
- -20[o]C
- Supplier:
- Arigo Biolaboratories
- Type:
- Antibody: Monoclonal Antibody
- Manufacturer's Data Sheet:ARG67041.html


