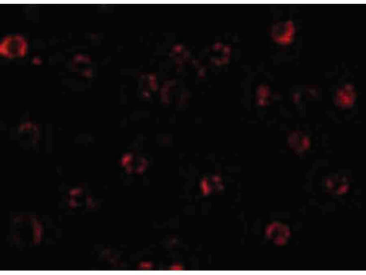
NAIP Antibody
Product Sizes
100 ug
600-401-CX3-100UG
About this Product
- SKU:
- 600-401-CX3
- Additional Names:
- NAIP|NAIP Antibody, BIRC1, NLRB1, psiNAIP, BIRC1, Baculoviral IAP repeat-containing protein 1, Neuronal apoptosis inhibitory protein
- Application:
- ELISA, Immunofluorescence, Immunohistochemistry, Western Blot
- Buffer:
- 0.01 M Sodium Phosphate, 0.25 M Sodium Chloride
- CE/IVD:
- RUO
- Clonality:
- Polyclonal
- Concentration:
- 1 mg/ml
- Extra Details:
- Neuronal apoptosis inhibitor protein (NAIP) was the first human inhibitor of apoptosis protein (IAP) identified and was discovered by its association with the neurodegenerative disorder spinal muscular atrophy. Members of the IAP family contain one to three copies of an approximately 70 amino acid motif termed baculovirus IAP repeat (BIR); these BIRs promote protein-protein interactions with various caspases such as caspase-3, -7, and -9 as well as members of the TRAF family of signal molecules. Unlike other IAPs however, NAIP requires ATP to bind caspase-9 and is not inhibited by the IAP-inhibiting molecule Smac/DIABLO, suggesting that NAIP is unique among the IAPs in its regulation of its activity. Finally, although only one human NAIP protein has been identified, other shorter NAIP mRNA transcripts have been reported.
- Formulation:
- 0.01 M Sodium Phosphate, 0.25 M Sodium Chloride, pH 7.2
- Host:
- Rabbit
- Immunogen:
- Anti-NAIP antibody was prepared from whole rabbit serum produced by repeated immunizations with a synthetic peptide corresponding to 13 amino acids at the C-terminus of human NAIP.
- Isotype:
- IgG
- Physical State:
- Liquid
- Reactivities:
- Human
- Shipping Conditions:
- Dry Ice
- Specificity:
- Anti-NAIP Antibody was affinity purified from monospecific antiserum by immunoaffinity chromatography. Minor, lower molecular weight bands may represent alternately spliced forms.
- Storage Conditions:
- -20[o]C aliquoted. Aliquot. Avoid freeze/thaw cycles.
- Supplier:
- Rockland Inc
- Type:
- Antibody: Polyclonal Antibody
- Manufacturer's Data Sheet:https://www.rockland.com/search/?searchString=600-401-CX3






