Rabbit Anti-CLASP1 Antibody [JE43-19], Recombinant Rabbit monoclonal Antibody
Product Sizes
100uL
ET7109-31-ET7109-31
About this Product
- SKU:
- ET7109-31
- Application:
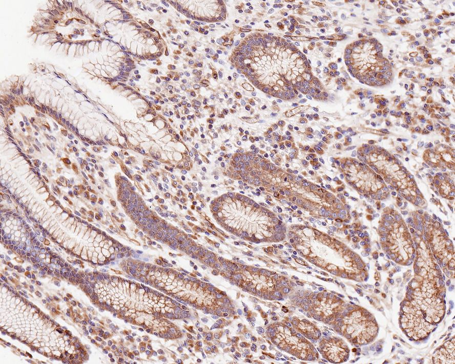
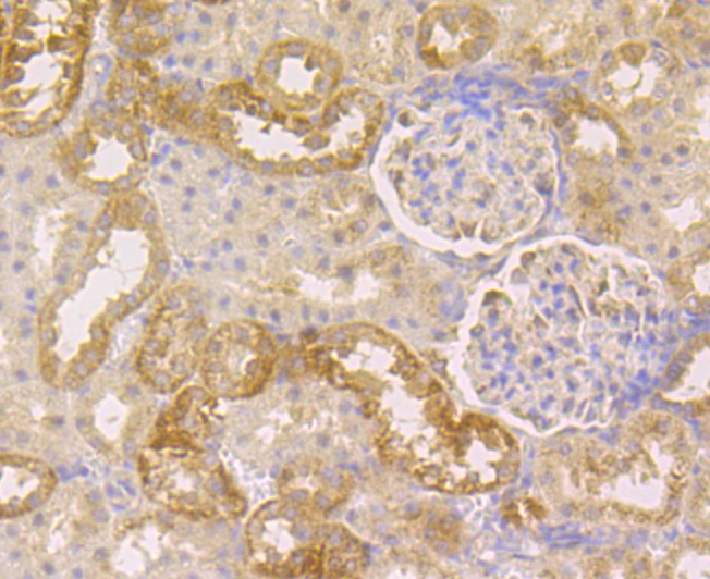
- WB, IF-Cell, IF-Tissue, IHC-Paraffin, FC
- Buffer:
- 1*TBS (pH7.4), 0.05% BSA, 40% Glycerol. Preservative: 0.05% Sodium Azide.
- translate.label.attr.clone:
- JE43-19
- Clonality:
- Recombinant Rabbit monoclonal Antibody
- Concentration:
- 1 mg/ml.
- Control:
- HepG2 cell lysate, Daudi cell lysate, SH-SY-5Y, SiHa, rat kidney tissue, human stomach tissue, human
- Format:
- Liquid
- Host:
- Rabbit
- Immunogen:
- Synthetic peptide within Human CLASP1 aa 1-50 / 1,538.
- Isotype:
- IgG
- Molecular Weight:
- Predicted band size: 169 kDa
- Purification:
- Protein A affinity purified.
- Reactivities:
- Human, Mouse, Rat
- Shipping Conditions:
- Blue Ice
- Storage Conditions:
- Store at +4℃ after thawing. Aliquot store at -20℃. Avoid repeated freeze / thaw cycles.
- Supplier:
- Huabio
- Manufacturer's Data Sheet:ET7109-31
