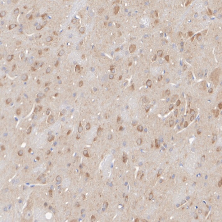
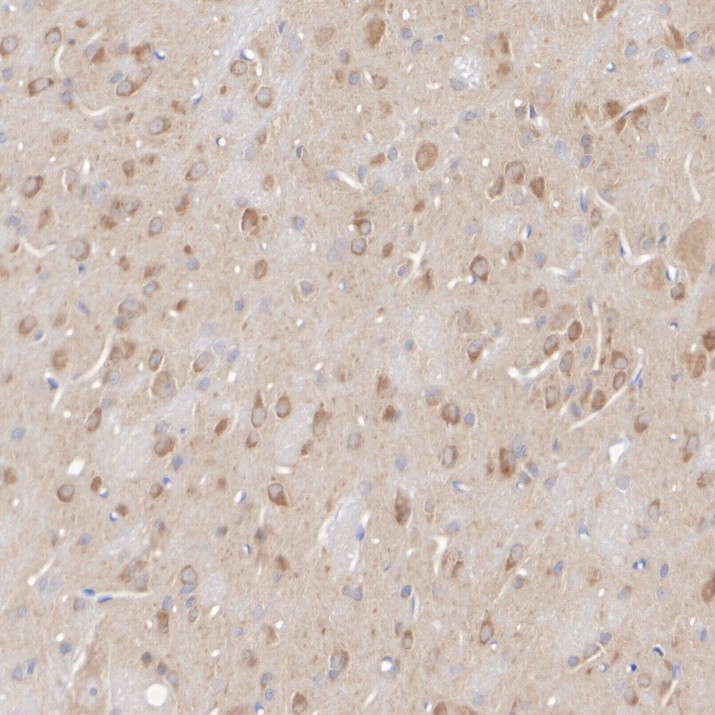
Rabbit Anti-Huntingtin Antibody [JB89-34], Recombinant Rabbit monoclonal Antibody [NeuroAb]
Product Sizes
100uL
ET7107-60-ET7107-60
About this Product
- SKU:
- ET7107-60
- Application:
- WB, IHC-Paraffin, FC, IHC-Frozen
- Buffer:
- 1*TBS (pH7.4), 0.05% BSA, 40% Glycerol. Preservative: 0.05% Sodium Azide.
- translate.label.attr.clone:
- JB89-34
- Clonality:
- Recombinant Rabbit monoclonal Antibody
- Concentration:
- 1 mg/mL.
- Control:
- Neuro-2a cell lysate, PC-12 cell lysate, mouse brain tissue lysate, rat brain tissue lysate, human c
- Format:
- Liquid
- Host:
- Rabbit
- Immunogen:
- Synthetic peptide within N-terminal Human Huntingtin .
- Isotype:
- IgG
- Molecular Weight:
- Predicted band size: 348 kDa
- Purification:
- Protein A affinity purified.
- Reactivities:
- Human, Mouse, Rat
- Shipping Conditions:
- Blue Ice
- Storage Conditions:
- Store at +4℃ after thawing. Aliquot store at -20℃ or -80℃. Avoid repeated freeze / thaw cycles.
- Supplier:
- Huabio
- Manufacturer's Data Sheet:ET7107-60
