Rabbit Anti-Apg3 Antibody [JU00-35], Recombinant Rabbit monoclonal Antibody [NeuroAb]
Product Sizes
100uL
ET1706-29-ET1706-29
About this Product
- SKU:
- ET1706-29
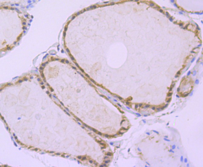
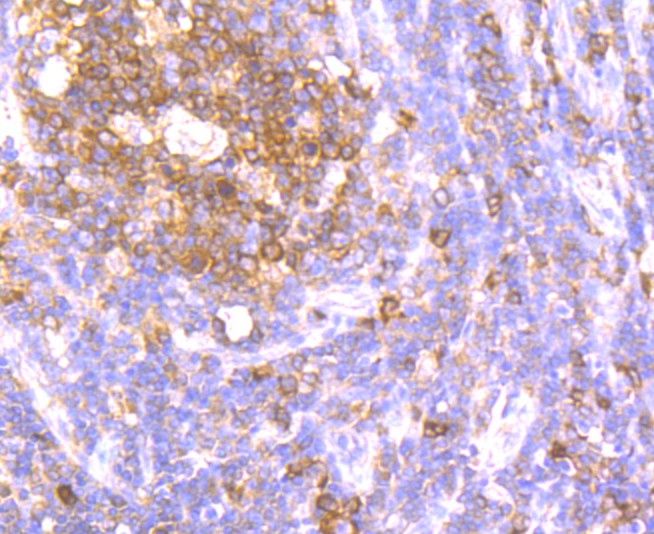
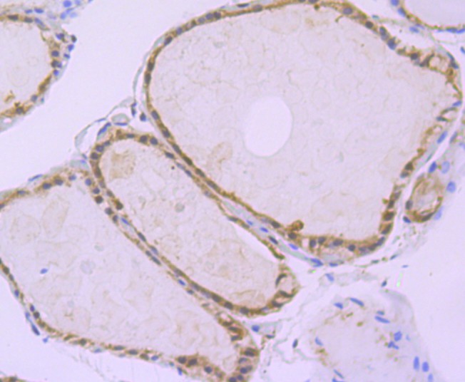
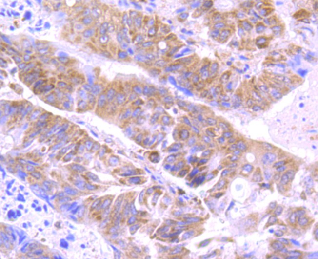
- Application:
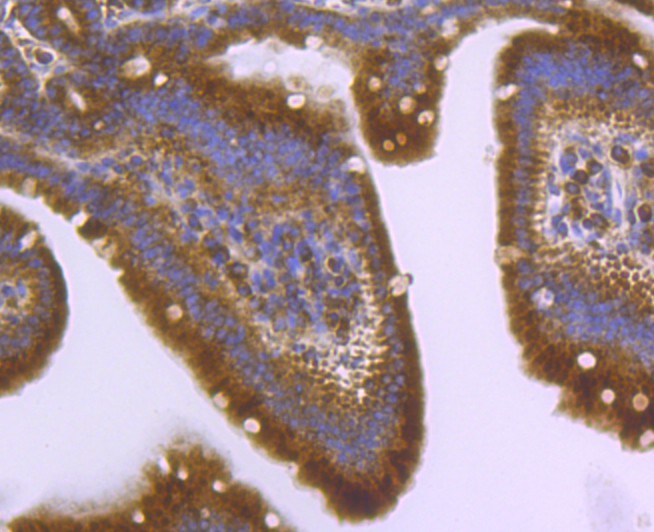
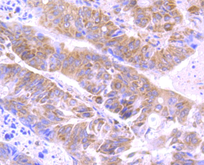
- WB, IHC-Paraffin
- Buffer:
- 1*TBS (pH7.4), 0.05% BSA, 40% Glycerol. Preservative: 0.05% Sodium Azide.
- translate.label.attr.clone:
- JU00-35
- Clonality:
- Recombinant Rabbit monoclonal Antibody
- Concentration:
- 1 mg/mL.
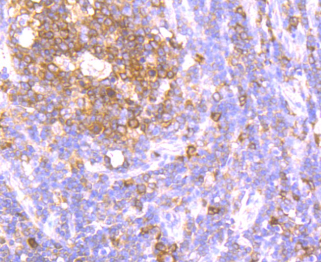
- Control:
- K562 cell lysate, HL-60 cell lysate, Hela cell lysate, Jurkat cell lysate, human tonsil tissue, huma
- Format:
- Liquid
- Host:
- Rabbit
- Immunogen:
- Synthetic peptide within Human Apg3 1-50 / 314.
- Isotype:
- IgG
- Molecular Weight:
- 40 kDa
- Purification:
- Protein A affinity purified.
- Reactivities:
- Human, Mouse, Rat
- Shipping Conditions:
- Blue Ice
- Storage Conditions:
- Store at +4℃ after thawing. Aliquot store at -20℃ or -80℃. Avoid repeated freeze / thaw cycles.
- Supplier:
- Huabio
- Manufacturer's Data Sheet:ET1706-29
