Rabbit Anti-Annexin A10 Antibody [SC06-02], Recombinant Rabbit monoclonal Antibody
Product Sizes
100uL
ET1610-57-ET1610-57
About this Product
- SKU:
- ET1610-57
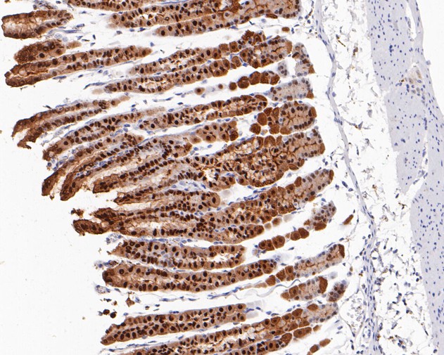
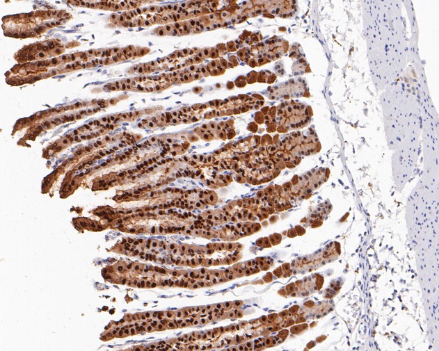
- Application:
- WB, IHC-Paraffin
- Buffer:
- 1*TBS (pH7.4), 0.05% BSA, 40% Glycerol. Preservative: 0.05% Sodium Azide.
- translate.label.attr.clone:
- SC06-02
- Clonality:
- Recombinant Rabbit monoclonal Antibody
- Concentration:
- 1 mg/mL.
- Control:
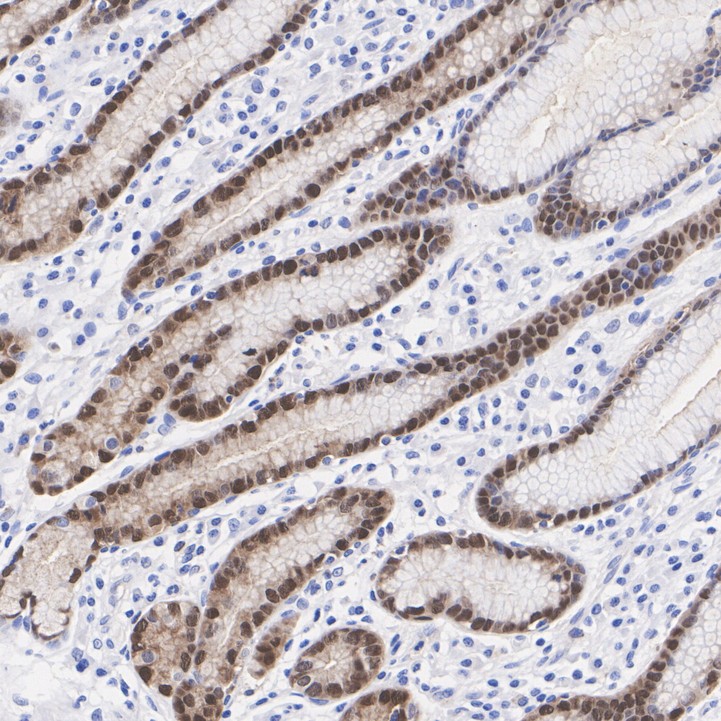
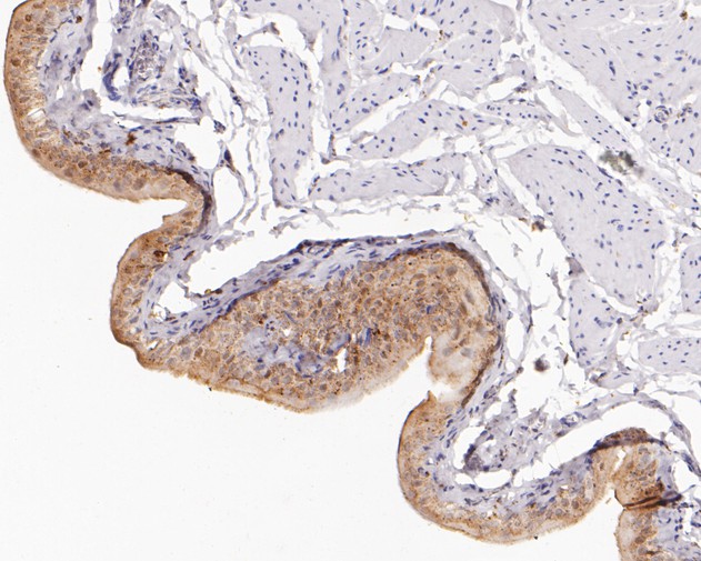
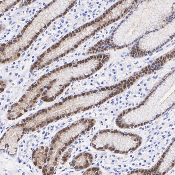
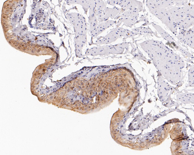
- Hela cell lysate, Jurkat cell lysate, rat bladder tissue, rat stomach tissue, mouse stomach tissue.
- Format:
- Liquid
- Host:
- Rabbit
- Immunogen:
- Recombinant protein within Human Annexin A10 aa 30-220 / 324.
- Isotype:
- IgG
- Molecular Weight:
- 37 kDa
- Purification:
- Protein A affinity purified.
- Reactivities:
- Human, Mouse, Rat
- Shipping Conditions:
- Blue Ice
- Storage Conditions:
- Store at +4℃ after thawing. Aliquot store at -20℃ or -80℃. Avoid repeated freeze / thaw cycles.
- Supplier:
- Huabio
- Manufacturer's Data Sheet:ET1610-57
