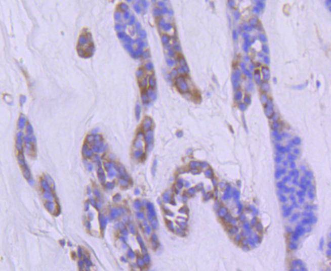
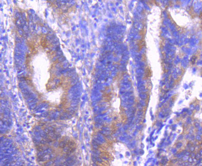
Rabbit Anti-Phospho-PAK1(S144)+PAK2(S141)+PAK3(S139) Antibody [SU03-70], Recombinant Rabbit monoclonal Antibody
Product Sizes
100uL
ET1608-58-ET1608-58
About this Product
- SKU:
- ET1608-58
- Application:
- WB, IF-Cell, IF-Tissue, IHC-Paraffin, FC, IP
- Buffer:
- 1*TBS (pH7.4), 0.05% BSA, 40% Glycerol. Preservative: 0.05% Sodium Azide.
- translate.label.attr.clone:
- SU03-70
- Clonality:
- Recombinant Rabbit monoclonal Antibody
- Concentration:
- 1 mg/mL.
- Control:
- Hela cell lysate, NIH/3T3 cell lysate, SH-SY5Y cell lysate, Hela, NIH/3T3, human liver carcinoma tis
- Format:
- Liquid
- Host:
- Rabbit
- Immunogen:
- Synthetic phospho-peptide corresponding to residues surrounding Ser144 of Human PAK1 aa 121-150 / 545.
- Isotype:
- IgG
- Molecular Weight:
- Predicted band size: 61 kDa
- Purification:
- Protein A affinity purified.
- Reactivities:
- Human, Mouse, Rat
- Shipping Conditions:
- Blue Ice
- Storage Conditions:
- Store at +4℃ after thawing. Aliquot store at -20℃ or -80℃. Avoid repeated freeze / thaw cycles.
- Supplier:
- Huabio
- Manufacturer's Data Sheet:ET1608-58
