Rabbit Anti-Phospho-Histone H2A.X(S139) Antibody [SR33-09], Recombinant Rabbit monoclonal Antibody
Product Sizes
100uL
ET1602-2-ET1602-2
About this Product
- SKU:
- ET1602-2
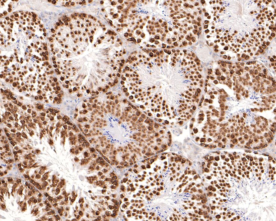
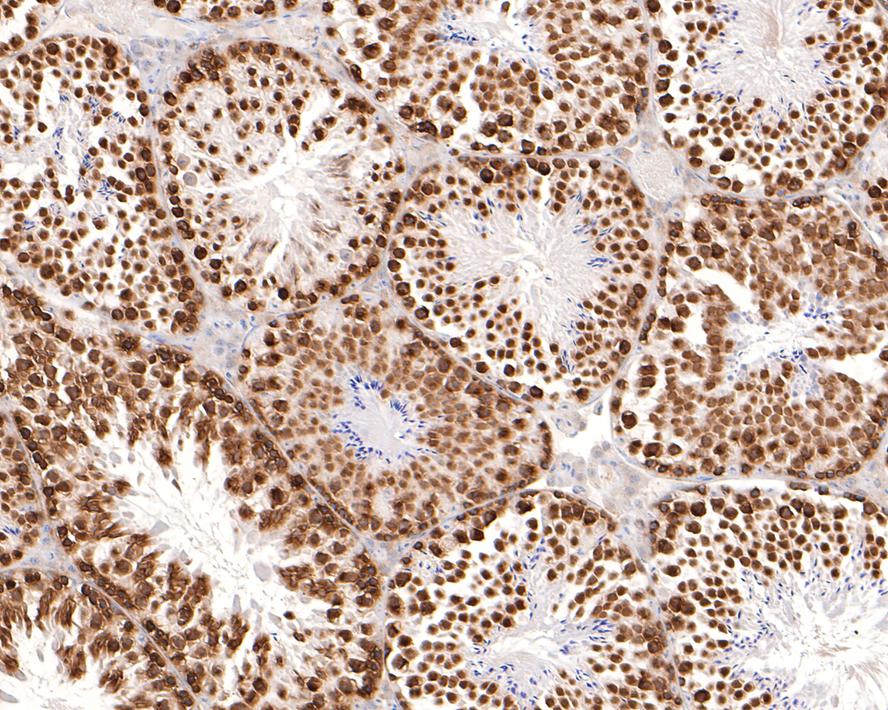
- Application:
- WB, IHC-Paraffin
- Buffer:
- 1*TBS (pH7.4), 0.05% BSA, 40% Glycerol. Preservative: 0.05% Sodium Azide.
- translate.label.attr.clone:
- SR33-09
- Clonality:
- Recombinant Rabbit monoclonal Antibody
- Concentration:
- 1 mg/mL.
- Control:
- HeLa treated with 20μM Etoposide for 2 hours whole cell lysate, HeLa treated with UV for 2 hours who
- Format:
- Liquid
- Host:
- Rabbit
- Immunogen:
- Synthetic phospho-peptide corresponding to residues surrounding Ser139 of Human Histone H2AX.
- Isotype:
- IgG
- Molecular Weight:
- Predicted band size: 15 kDa
- Purification:
- Protein A affinity purified.
- Reactivities:
- Human, Mouse, Rat
- Shipping Conditions:
- Blue Ice
- Storage Conditions:
- Store at +4℃ after thawing. Aliquot store at -20℃ or -80℃. Avoid repeated freeze / thaw cycles.
- Supplier:
- Huabio
- Manufacturer's Data Sheet:ET1602-2
